강남숙면치과 | 압구정 의식하진정법 숙면임플란트, 연세대의료진

    사이트맵버튼
  • 강남숙면치과
    • 강남숙면치과
    • 의료진소개
    • 디지털 장비 소개
    • 진료공간
    • 진료시간/오시는길
  • 의식하진정법 숙면임플란트
    • 의식하진정법 숙면임플란트특별함
    • 의식하진정법 숙면임플란트
    • 네비게이션임플란트
    • 스트라우만임플란트
    • 포인트UV임플란트
    • 오스템임플란트
  • 의식하진정법 숙면라미네이트특별함
    • 의식하진정법 숙면라미네이트특별함
    • 의식하진정법 숙면라미네이트
    • 라미네이트Q&A
  • 치아교정
    • 치아교정특별함
    • 클리피씨교정
    • 인비절라인
    • 투명교정
    • 소아/청소년교정
    • 치아교정주의사항
  • 의식하진정법 숙면치과치료
    • 의식하진정법 숙면치과치료
    • 보철치료
    • 신경치료
    • 충치치료
    • 사랑니발치
  • 턱관절치료
    • 턱관절장애원인및증상
    • 턱관절치료방법
  • 치아보험
    • 치아보험알아보기
    • 구비서류안내
  • 커뮤니티
    • 공지사항
    • 전후사진
    • 치료후기
    • 비급여수가표
    • 카카오톡상담

원칙과-기본을-지키는-진료-강남숙면치과-소개
강남숙면치과 디지털 장비 소개
강남숙면치과는 다양한 디지털 장비를 사용하여 환자의 안전과 치료의 정확도를 높입니다.
3D-CT: 고객의 안전과 성공적인 수술을 위해 입체적인 CT로 정확하게 진단. 시로나 3D 구강스캐너: 기존의 고무 인상 채득으로 인한 불편함과 큰 오차 범위를 정확하고 편안하게 디지털 영상으로 채득. 산소포화도 측정기 산소포화도 및 심박수를 실시간으로 측정하여 안전하게 의식하진정법 숙면치과진료 가능. 신터링 퍼니스: 보철물을 강력하게 굳혀 단단하게 만들기 위해 사용. UV Activator: 검증된 친수성 효과와 우수한 초기 골융합. 턱관절 기계 PHL-15: 레이저와 근적외선치료를 이용하여 물리치료 및 사후 케어를 위해 사용
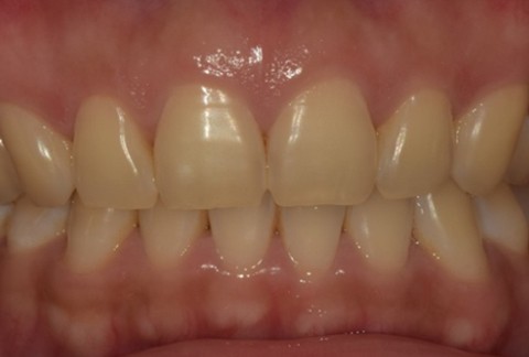
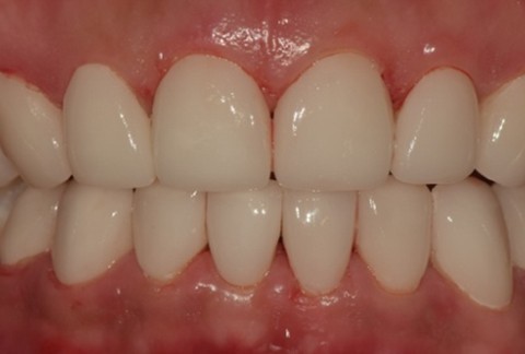
임플란트-전후사진
강남숙면치과-전문의-의료진의-1:1-개인별-맞춤-진료-믿을-수-있는-전문의-의료진의-개인별-맞춤-진료-치의학박사-치주과전문의-유재현-대표원장-치과교정과전문의-이희선-원장
안전하고-편안한-의식하진정법 치료를-위한-노력-안전을-우선으로한-의식하진정법 -치료-프로그램-환자모니터링-장비-응급장비-구비-의식하진정법 치료-교육
꼭-필요한-치료만을-권하는-강남숙면치과-과잉진료없이-정직하고-믿을-수-있는-진료-충분한-설명-필요한-치료만-디지털-장비로-정밀한-진단
진료-보증제를-통한-사후관리-마지막까지-책임지는-철저하고-체계적인-사후관리-진료-보증제-임플란트-보증서-발급
  • 카카오톡
  • 네이버예약
  • 전화상담
  • 치료후기
  • 오시는길
진료예약-상담문의

카카오톡채널 네이버블로그 전화번호-02-512-0204-월/수/목-10:00부터-19:00까지-화-10:00부터-18:00까지-토-10:00부터-15:00까지-점심시간-13:00부터-14:00까지-금-토요일-점심시간-없음-주소-서울-강남구-압구정로-324-3층-강남숙면치과의원-사업자번호-562-43-00617-강남숙면치과의원-대표-유재현-전화-02-512-0204-팩스-02-512-0288-COPYRIGHT-숙면의기적-ALL-RIGHTS-RESERVED