강남숙면치과 | 압구정 의식하진정법 숙면임플란트, 연세대의료진

    사이트맵버튼
  • 강남숙면치과
    • 강남숙면치과
    • 의료진소개
    • 디지털 장비 소개
    • 진료공간
    • 진료시간/오시는길
  • 의식하진정법 숙면임플란트
    • 의식하진정법 숙면임플란트특별함
    • 의식하진정법 숙면임플란트
    • 네비게이션임플란트
    • 스트라우만임플란트
    • 포인트UV임플란트
    • 오스템임플란트
  • 의식하진정법 숙면라미네이트특별함
    • 의식하진정법 숙면라미네이트특별함
    • 의식하진정법 숙면라미네이트
    • 라미네이트Q&A
  • 치아교정
    • 치아교정특별함
    • 클리피씨교정
    • 인비절라인
    • 투명교정
    • 소아/청소년교정
    • 치아교정주의사항
  • 의식하진정법 숙면치과치료
    • 의식하진정법 숙면치과치료
    • 보철치료
    • 신경치료
    • 충치치료
    • 사랑니발치
  • 턱관절치료
    • 턱관절장애원인및증상
    • 턱관절치료방법
  • 치아보험
    • 치아보험알아보기
    • 구비서류안내
  • 커뮤니티
    • 공지사항
    • 전후사진
    • 치료후기
    • 비급여수가표
    • 카카오톡상담

050728e41b5d490b60760a4c42db10ba_1760612269_7791.jpg

4101fd6530b3621182b283de63082640_1716175682_5675.jpg
  • 11월 진료안내
  • 신분증 지참 안내문
팝업닫기
의식하진정법
당일수면가능 숙면임플란트
강남숙면치과-편안하고-안전한-의식하진정법 숙면임플란트-비급여-임플란트-수술-시-의식하진정법 -비용-포함-치과치료가-두려워-임플란트를-미뤄왔다면-자고-일어난-듯-편안한-강남숙면치과-의식하진정법 숙면임플란트
강남숙면치과-치과공포증-극복-의식하진정법 치과치료-강남숙면치과는-의식하진정법 치료-전-과정을-실시간으로-모니터링하여-안전성-높은-의식하진정법 치료가-가능합니다
강남숙면치과-내게-꼭-맞는-맞춤-치아교정-치과교정과-전문의의-다양한-교정치료-경험으로-나에게-꼭-맞는-맞춤-치아교정
강남숙면치과-보건복지부-인증-치주과전문의,치과교정과전문의,통합치의학과전문의가-상주하여-상담부터-치료-사후관리까지-꼼꼼하게-맞춤-진료-합니다.
치료의 안전성과 정확도를 높이는 강남숙면치과의 다양한 디지털 장비 강남숙면치과는 정밀하고 안전성 높은 치료를 위해 다양한 디지털 장비를 보유하고 있습니다.
강남숙면치과-의식하진정법-사용약물-미다졸람-프로포폴-케타민-레미마졸람-강남숙면치과는-의식하진정법-약물-사용-시-환자의-상태에-따라-약물-및-투약-용량을-결정하여-수면치료를-진행합니다.
미다졸람-수용성으로-정주-시-통증-없음-기억상실-및-긴장-완화
케타민-강력한-진통효과-해리성-마취
프로포폴-빠른-인지능력의-회복-짧은-지속시간
레미마졸람-빠른-회복-호흡-억제-위험-감소
미다졸람미다졸람
케타민케타민
프로포폴프로포폴
레미마졸람레미마졸람
치과의사를 교육하는 치과의사 강남숙면치과 유재현 대표원장. 치과 치료는 치아를 가장 잘 아는 사람에게 받아야합니다. 강남숙면치과 대표원장은 풍부한 임상 경험과 숙련된 노하우를 가지고 다양한 학술 활동을 하며 치의학 발전에 노력을 기여하고 있습니다.
치주과 전문의 대표원장의 기초부터 탄탄한 완성도 높은 의식하진정법 숙면임플란트. 연세대학교 치과대학 병원 치의학 박사. 보건복지부 인증 치주과 전문의. 연세대학교 세브란스 치과대학 병원 치주과 레지던트 수료. 2019 국제학술지 SCI 논문 등재
진단에서 치료까지, 더욱 만족스러운 결과를 제공하는 강남숙면치과 디지털 장비. 강남숙면치과는 다양한 디지털 장비를 통해 보다 더 정밀한 진단과 안전성 높은 치료를 제공합니다. 정확한 진단, 높은 안정성, 불편함 감소, 빠른 치료
강남숙면치과-의식하진정법 숙면임플란트-이런-분들께-필요합니다-의식하진정법으로-자고-일어난-듯-편안하게-치료하는-강남숙면치과-의식하진정법 숙면임플란트
임플란트-보철-시-기성-어버트먼트가-아닌-맞춤-지대주-사용-보철-파절-위험-방지-음식물-끼임-방지-주위염-방지-맞춤-지대주는-환자의-구강환경에-맞는-교합을-구현할-수-있고-앞니-보철시-더욱-심미적으로-제작이-가능합니다
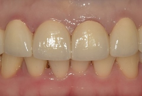
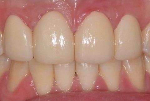
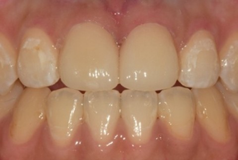
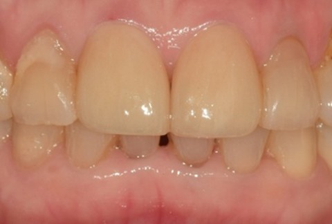
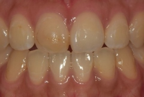
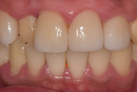
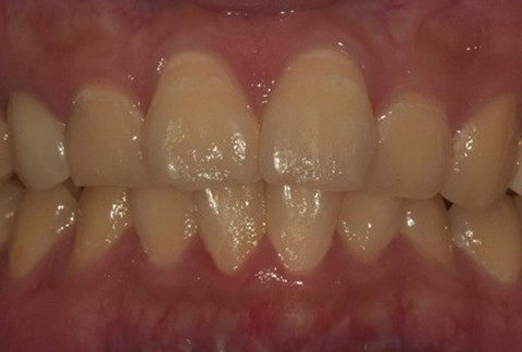
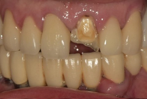
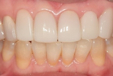
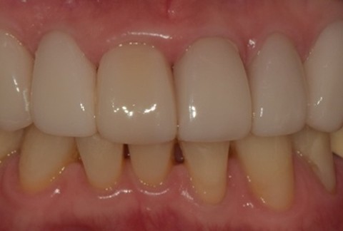
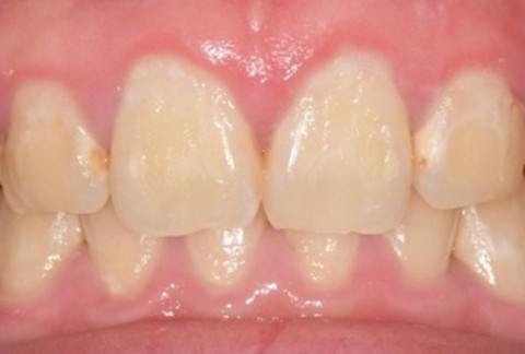
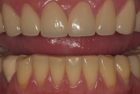
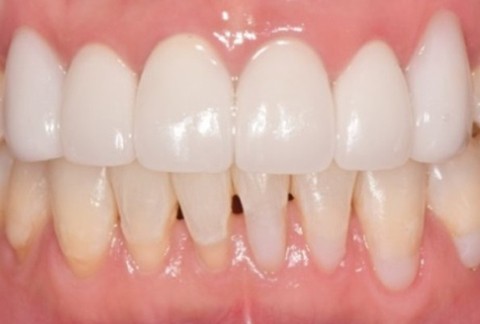
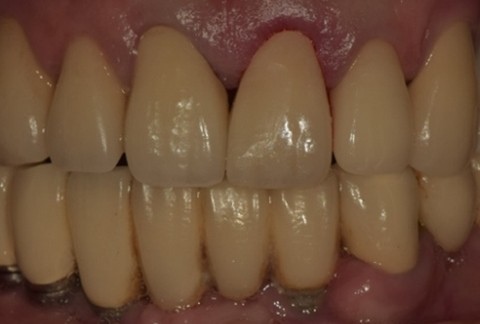
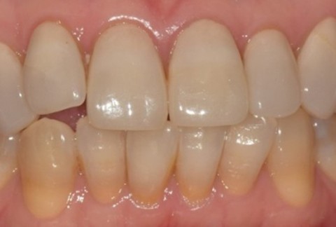
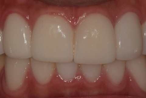
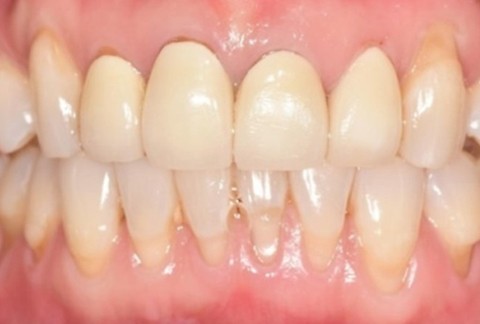
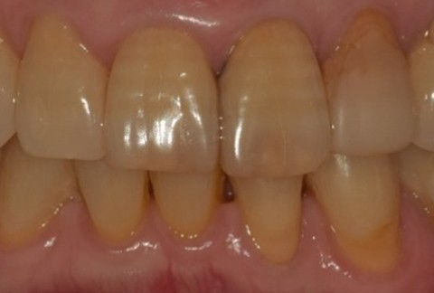
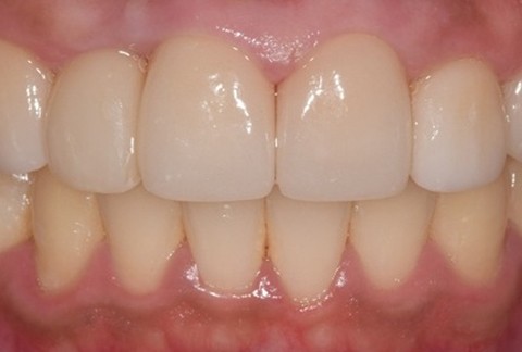
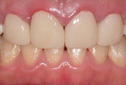
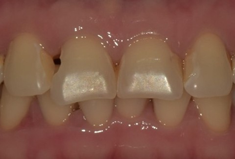
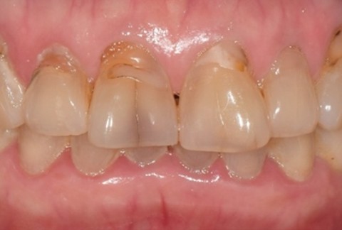
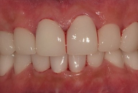
임플란트-전후사진
강남숙면치과-전문의-의료진의-1:1-개인별-맞춤-진료-믿을-수-있는-전문의-의료진의-개인별-맞춤-진료-치의학박사-치주과전문의-유재현-대표원장-치과교정과전문의-이희선-원장
안전하고-편안한-의식하진정법 치료를-위한-노력-안전을-우선으로한-의식하진정법 -치료-프로그램-환자모니터링-장비-응급장비-구비-의식하진정법 치료-교육
꼭-필요한-치료만을-권하는-강남숙면치과-과잉진료없이-정직하고-믿을-수-있는-진료-충분한-설명-필요한-치료만-디지털-장비로-정밀한-진단
진료-보증제를-통한-사후관리-마지막까지-책임지는-철저하고-체계적인-사후관리-진료-보증제-임플란트-보증서-발급
  • 카카오톡
  • 네이버예약
  • 전화상담
  • 치료후기
  • 오시는길
진료예약-상담문의

카카오톡채널 네이버블로그 전화번호-02-512-0204-월/수/목-10:00부터-19:00까지-화-10:00부터-18:00까지-토-10:00부터-15:00까지-점심시간-13:00부터-14:00까지-금-토요일-점심시간-없음-주소-서울-강남구-압구정로-324-3층-강남숙면치과의원-사업자번호-562-43-00617-강남숙면치과의원-대표-유재현-전화-02-512-0204-팩스-02-512-0288-COPYRIGHT-숙면의기적-ALL-RIGHTS-RESERVED